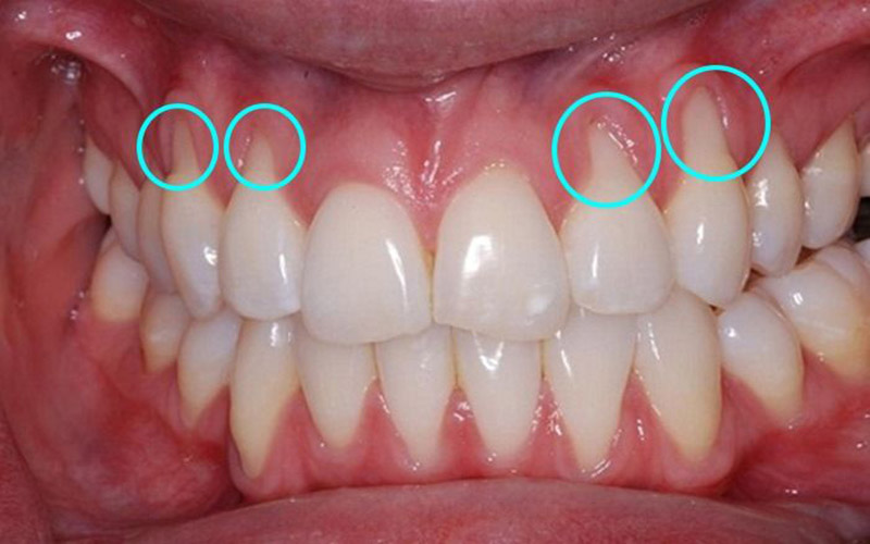
Dấu hiệu của bệnh viêm nha chu

Nướu khỏe mạnh sẽ săn chắc và vừa khít với răng. Màu sắc của nướu khỏe mạnh có thể khác nhau. Chúng có thể có màu từ hồng nhạt đến hồng đậm và nâu tùy vào cơ địa mỗi người. Những dấu hiệu viêm nha chu bao gồm:

Nguyên nhân viêm nha chu mãn tính
  • Nướu sưng đỏ hoặc sưng húp.
  • Nướu chuyển sang màu đỏ tươi, đỏ sẫm hoặc tím sẫm.
  • Cảm giác mềm khi chạm vào.
  • Nướu dễ chảy máu khi đánh răng hoặc xỉa răng.
  • Bàn chải đánh răng có màu hồng sau khi đánh răng.
  • Khạc ra máu khi đánh răng hoặc xỉa răng.
  • Hôi miệng dai dẳng.
  • Xuất hiện mủ giữa răng và nướu.
  • Răng lung lay hoặc mất răng.
  • Đau khi nhai.
  • Khoảng trống mới phát triển giữa răng giống như hình tam giác màu đen.
  • Tụt nướu.
  • Có sự thay đổi trong khoảng cách giữa các răng.

Trong một số trường hợp đặc biệt, các triệu chứng có thể không xuất hiện cho đến khi người bệnh bước qua tuổi 40. Giai đoạn 40 – 50 tuổi, viêm nha chu có thể tiến triển và người đó có thể bị tổn thương không thể phục hồi.

Phân biệt viêm nướu và viêm nha chu

Viêm nướu xảy ra trước viêm nha chu. Viêm nướu là tình trạng viêm chỉ giới hạn ở đường viền nướu, trong khi viêm nha chu là tình trạng tiêu xương hàm, dây chằng nha chu và xi măng chân răng.

Trong viêm nướu, các cấu trúc neo giữ răng tại chỗ vẫn chưa bị mất. Việc vệ sinh răng miệng tốt tại nhà có thể ngăn viêm nướu và phục hồi nướu khỏe mạnh. Nhưng với bệnh viêm nha chu thì khác, một khi ổ viêm gây ra tình trạng mất xương, tổn thương này không thể phục hồi được. Điều trị viêm nha chu không chỉ cần vệ sinh răng miệng tốt tại nhà và cần sự chăm sóc từ nha sĩ hoặc bác sĩ răng hàm mặt.

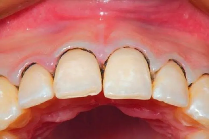
Viêm nướu răng sứ

Viêm nướu


Khoảng 90% người lớn bị viêm nướu do mảng bám vi khuẩn tích tụ trên bề mặt răng. Dấu hiệu của viêm nướu bao gồm: nướu đỏ và viêm sưng, có chảy máu trong khi đánh răng, răng không lung lay. Viêm nướu không gây tổn thương không thể khắc phục đối với xương hoặc mô xung quanh. Nhưng nếu không được điều trị có thể tiến triển thành viêm nha chu.

Hình ảnh viêm nha chu

Viêm nha chu


Với viêm nha chu, nướu và xương bị tiêu đi, tạo thành các túi ở chân răng. Chân răng ngày càng lộ ra ngoài. Các mảnh vụn tích tụ trong khoảng trống giữa nướu và răng, gây nhiễm trùng khu vực này. Hệ thống miễn dịch tấn công vi khuẩn khi mảng bám lan ra bên dưới đường viền nướu vào các túi. Điều này dẫn đến một phản ứng miễn dịch, liên quan đến việc giải phóng độc tố và viêm nhiễm, khiến xương và các mô liên kết neo giữ răng bắt đầu bị phá vỡ. Răng có thể bị lung lay và rụng. Những tổn thương do viêm nha chu gây ra không thể khắc phục.

Nguyên nhân viêm nha chu là gì?

Trong hầu hết các trường hợp, viêm nha chu bắt đầu từ mảng bám. Mảng bám là một màng dính được tạo thành từ vi khuẩn. Nếu không được điều trị, bệnh tiến triển theo thời gian thành viêm nha chu:

  • Mảng bám hình thành trên răng khi tinh bột và đường trong thức ăn tương tác với vi khuẩn thường thấy trong miệng. Đánh răng 2 lần/ngày và dùng chỉ nha khoa mỗi ngày một lần sẽ loại bỏ mảng bám.
  • Mảng bám có thể cứng lại dưới đường viền nướu hình thành cao răng nên khó loại bỏ hơn. Bạn không thể loại bỏ mảng bám bằng cách đánh răng và dùng chỉ nha khoa mà cần đi cạo vôi răng. Mảng bám và cao răng chứa đầy vi khuẩn, chúng càng ở trên răng của bạn lâu thì càng gây nhiều tổn thương.
  • Mảng bám có thể gây viêm nướu, dạng nhẹ nhất của bệnh nướu răng. Viêm nướu là tình trạng kích ứng và sưng mô nướu xung quanh chân răng. Mảng bám có thể được khắc phục bằng cách chăm sóc răng miệng tốt tại nhà và đến bác sĩ răng hàm mặt sớm trước khi bạn bị tiêu xương.
  • Kích ứng và sưng nướu có thể gây viêm nha chu. Điều này gây ra các túi sâu hình thành giữa nướu và răng của bạn. Túi này chứa đầy mảng bám, cao răng, vi khuẩn và trở nên sâu hơn theo thời gian. Nếu không được điều trị, nhiễm trùng tiến triển sâu hơn sẽ gây mất mô và xương. Cuối cùng, bạn có thể mất răng. Tình trạng viêm liên tục có thể gây căng thẳng cho hệ thống miễn dịch, gây ra các vấn đề sức khỏe khác.

Các yếu tố nguy cơ gây bệnh nha chu

Các yếu tố có thể làm tăng nguy cơ viêm nha chu bao gồm:

  • Viêm lợi.
  • Thói quen chăm sóc sức khỏe răng miệng kém.
  • Hút thuốc lá.
  • Thay đổi nội tiết tố liên quan đến mang thai hoặc mãn kinh.
  • Sử dụng chất kích thích (ma túy, cần sa) hoặc thuốc lá điện tử.
  • Dinh dưỡng kém, thiếu vitamin C.
  • Di truyền học.
  • Một số loại thuốc gây khô miệng hoặc thay đổi kẹo cao su.
  • Mắc các bệnh làm giảm khả năng miễn dịch, chẳng hạn như bệnh bạch cầu, HIV/AIDS và điều trị ung thư.
  • Một số bệnh như bệnh tiểu đường, viêm khớp dạng thấp và bệnh Crohn.
Viêm-nha-chu

Bệnh nha chu có nguy hiểm không?

Viêm nha chu là bệnh nguy hiểm vì biến chứng viêm nha chu khiến các cấu trúc hỗ trợ của răng, bao gồm cả xương hàm bị phá hủy. Răng của bạn nới lỏng và có thể bị rụng hoặc cần nhổ và nhiều hệ lụy sức khỏe khác. Vi khuẩn gây viêm nha chu có thể xâm nhập vào máu thông qua mô nướu, ảnh hưởng đến các bộ phận khác của cơ thể. Viêm nha chu có liên quan đến bệnh hô hấp, viêm khớp dạng thấp, bệnh động mạch vành, sinh non và nhẹ cân cũng như các vấn đề kiểm soát lượng đường trong máu ở bệnh tiểu đường.

Viêm nha chu có lây không?

Viêm nha chu là bệnh nguy hiểm vì biến chứng viêm nha chu khiến các cấu trúc hỗ trợ của răng, bao gồm cả xương hàm bị phá hủy. Răng của bạn nới lỏng và có thể bị rụng hoặc cần nhổ và nhiều hệ lụy sức khỏe khác. Vi khuẩn gây viêm nha chu có thể xâm nhập vào máu thông qua mô nướu, ảnh hưởng đến các bộ phận khác của cơ thể. Viêm nha chu có liên quan đến bệnh hô hấp, viêm khớp dạng thấp, bệnh động mạch vành, sinh non và nhẹ cân cũng như các vấn đề kiểm soát lượng đường trong máu ở bệnh tiểu đường.

Viêm nha chu có chữa được không?

Viêm nha chu là một dạng nặng của bệnh viêm nướu răng. Các triệu chứng đặc trưng bao gồm nướu đỏ, chảy máu và mềm, răng lung lay, hơi thở có mùi và tụt nướu. Viêm nha chu không thể chữa khỏi hoàn toàn nhưng có thể kiểm soát được nếu được chăm sóc và điều trị đúng cách. Bạn có thể kiểm soát tình trạng này bằng cách chăm sóc sức khỏe răng miệng đúng cách. Điều này bao gồm vệ sinh răng miệng tốt và làm sạch răng thường xuyên theo các khoảng thời gian khuyến nghị của nha sĩ. Các bạn có thể liên hệ với đội ngũ Nha sĩ hoặc đặt lịch thăm khám MIỄN PHÍ tại Rio Luxury Dental để được thăm khám và có lộ trình điều trị rõ ràng

Cover-Girl-1000x1103

ĐẶT LỊCH TƯ VẤN

Đừng ngần ngại khi liên hệ với chúng tôi. Đội ngũ chuyên gia và các bác sĩ giàu kinh nghiệm của chúng tôi luôn sẵn sàng hỗ trợ…

    Họ và tên:

    Số điện thoại:

    Lựa chọn dịch vụ:

    Khung giờ liên hệ:


    [wpcf7.remote_ip]

    [utm_source_i][/utm_source_i]
    [utm_medium_i][/utm_medium_i]
    [utm_campaign_i][/utm_campaign_i]
    [utm_term_i][/utm_term_i]
    [utm_content_i][/utm_content_i]

    Trợ lý Bác sĩ của Nha khoa Rio sẽ liên hệ với bạn sau ít phút.

    Thông tin mới từ Rio Luxury Dental

    Using Free Slots To Improve Your Slots

    Have you ever tried playing casino free slots online? If you’re interested in playing casino games then you have to have attempted slots . Slots [...]

    The Ultimate Guide to Slots Games Online Real Money

    Are you a fan of online slots games and looking to play for real money? Look no further, as we have created the ultimate guide [...]

    Mobile Gaming Experience at 235 Casino: Is It Worth It?

    Discover the mobile gaming experience at 235 Casino. Is it worth your time? Find out now!

    FAQs About 21luckybet: Everything You Need to Know

    Discover essential FAQs about 21luckybet, covering everything you need to know for a seamless betting experience!

    How to Make the Most of Allwins Casino Loyalty Points

    Discover tips to maximize your Allwins Casino loyalty points for exciting rewards and exclusive benefits!

    Alf Casino’s Approach to Game Updates and Maintenance

    Discover how Alf Casino ensures top-notch gaming with regular updates and maintenance for an exceptional player experience.